鲨鱼世界网
首页
宇宙探秘
科学探秘
自然地理
动物世界
未解之谜
怪异植物
生命医学
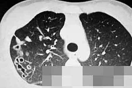
女子肺里长满虫 咳血三年只因爱吃这【必看】
2019-06-12
女子肺里长满虫 咳血三年只因爱吃这,年仅23岁的云南姑娘小夏咳血三年,被当成是结核病治疗三年无效,近日CT发现,小夏的肺里全都是虫游动的痕迹......
儿子比老公大更厉害|洪荒的背后,时光的囚徒
2022-01-08
而在两年后的今天,在加城这个陌生且清冷的...
同性爱|遇见你,是我今生的最大的幸福
2022-01-08
我摇着轮椅穿梭在熙熙攘攘的街道,人们的目...
杨幂胸|也许曾有爱情来过
2022-01-07
那一个午后。明媚的阳光。晴空万里。在站牌...
疫情期间和老妈做的事|存金存爱
2022-01-06
“蒋老师,我们准备元旦结婚,您可一定要参...
任达华三级|哑巴叔的爱情
2022-01-06
每一个人都向往浪漫美好的爱情,也都有神圣...
打女生屁屁|我把最好的年华献给你
2022-01-06
因他曾这样吻过她的眼,她的眼便清透如深邃...
晚娘钟丽缇|无悔相随,爱你到没有退路
2022-01-05
我爱你,爱到没有退路。天涯海角,海枯石烂...
巨力集团杨家三兄弟|最后的倾诉
2022-01-05
亲爱的!我感觉出来了,你是想离开了,我不...
二小姐|一个深爱的女孩
2022-01-05
“独自走在相识的地点,往事再次划过了心弦...
青衣花旦|烟柳寒梦,捧一撮红豆寄情愁
2022-01-04
浮华若梦,当我再次走在那昔日你我踏过的足...
热门浏览
法国小村庄疑为UFO基地 末世论者蜂拥而至【解密】
又见UFO?江宁上空现火焰状“云烟”【解密】
一般人不知道!这14种菜吃了竟然能壮阳【必看】
最毒最脏的十大街头小吃:看看你吃过没【必看】
基因可预测人类死亡时间?与死亡关系【必看】
盘点未来可能出现的世界七大奇迹 你最期待哪个?【科学】
宇宙中的五大神秘粒子 你都知道是什么吗?【科学】
吃红辣椒致命?10种美食吃错部位变砒霜【必看】
最令人惊奇的九大科学发现 你被惊讶到了吗?【科学】
一查就是肺癌...这种做饭的坏习惯,你可能也有【必看】
盘点世界6大极端物质 颠覆你的认知【科学】
地球死亡周期2600万年 真相你知道多少【宇宙探秘】
十大外星人事件揭秘 真相让人哭笑不得【解密】
外星人真实存在的10个迹象 震惊科学界【解密】
大连海滩上空现“巨型黑圈”【解密】
亚马逊十大特异功能生物,这些你可能从未见过!【奇趣生物】
农村小伙进菜园,见到这菜被吓懵了!【怪异植物】
揭秘世界十大恐怖未知生物的真面目 真相原来是这样【奇趣生物】
哈佛女孩刘亦婷现状如何 带给我们怎样的反思【科技】
美洲有一种向日葵,近看可能要命【怪异植物】
标签列表